【佳学基因检测】理解发病机理,选择准确的扩张性心肌病基因检测
扩张性心肌病为什么致病?
《心脏病患者的身体结构与功能变化及其背后的的基因基础》指出:扩张型心肌病不规则心脏结构的分子基础是心肌细胞结构和组成的变化。导致这种可能是致病的改变可能是反应性或遗传性的,并导致心肌重塑。这导致了众所周知的在左心室可以看到斑块的临床表型、或者是临床症状。其中心肌细胞散布着坏死和纤维化斑块以及间歇性钙化(图1)。在比较扩张性心病病基因检测的准确性时,基因解码致力于建立于可以通过各种学术要求的标准。而扩张性心肌病的基因解码发现这些机制增加舒张压和心室扩张,导致左室射血分数降低,舒张功能障碍恶化,并连续出现临床症状。心脏射血分数降低后的神经体液激活[儿茶酚胺分泌、迷走神经活动减少、肾素-血管紧张素-醛固酮系统(RAAS)激活]进一步导致室壁应激。重塑的潜在分子机制显示了一个复杂的细胞信号通路网络,到目前为止,这些通路正在通过基因解码过程而变得详细和清晰。转化生长因子(TGF-)β是整个机体纤维化发展的一个主要因素。RAAS是血压的主要调节器,在扩张型心肌病中作为一种代偿机制被激活。血管紧张素II是RAAS的一部分,已被证明可激活TGF-β和白细胞介素(IL-11);这两种标记物似乎都与扩张型心肌病27-29的心肌重塑病理机制有关。TGF-β和IL-11在健康心肌中表达非常低,但在病变心脏中诱导表达。它们的表达与已知细胞外基质蛋白的表达相关并先于其表达,这些蛋白在纤维化形成和心肌重塑期间增加。在心脏重塑过程中,诱导肌成纤维细胞(心脏成纤维细胞的“活跃”状态)分化。是否所有肌成纤维细胞都是心脏成纤维细胞的直接后代是影响扩张性心肌病基因检测的一个因素,而扩张性心肌病的致病基因基因鉴定是解决这一过程的重要力量。TGF-β的抑制可能对包括扩张型心肌病在内的许多纤维化心脏病具有治疗作用。然而,由于其系统性和多效性功能,怀疑存在许多副作用。然而,抑制IL-11可能是一种有希望的未来替代方法。
扩张性心肌病患者体内有什么不同?研究能力决定基因检测的准确性
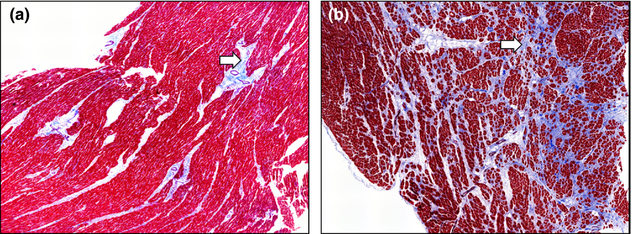
非病变(a)和病变终末期心力衰竭患者的心脏的左心室的显微分析。纤维化含量(Masson三色染色,a和b区,放大20倍)在非病变心脏中以3%计算,而在病变心脏中以30%计算(白色箭头表示纤维化区域)。
Histological section of a nondiseased (subsection a) and diseased, end-stage heart failure [Phospholamban (PLN) mutation, subsection b] left ventricle. The content of fibrosis (Masson's trichrome stain, subsection a and b, 20× magnification) is calculated with 3% in the nondiseased heart versus 30% in the diseased heart (white arrow depicts areas of fibrosis).图片引自《Dilated cardiomyopathy: from epidemiologic to genetic phenotypes》

基因解码对扩张性心肌病的基因原因的深度研究
对非基因原因导致的扩张型心肌病的排除
特发性炎症、病毒或自身免疫介导的心肌细胞破坏直接通过病毒病效应(急性期)或间接通过T细胞介导的细胞毒性(亚急性期)介导。慢性炎症反应导致炎症性扩张型心肌病(IDC),这是原发性获得性扩张型心肌病的一个亚型。心肌活检可以从组织学上证明心肌的潜在病理学(如病毒)和变化。
获得性原发性心肌病的一个重要原因是心肌炎。扩张性心肌病的发病原因解码发现,不仅嗜心病毒,而且真菌、寄生虫和化学毒素可能导致炎症,从而导致水肿、坏死和瘢痕形成的有害影响。嗜心病毒主要是肠道病毒(柯萨奇B2病毒高达50%)、腺病毒、细小病毒B19、疱疹病毒、爱泼斯坦-巴尔病毒,很少是型肝炎病毒。HIV阳性患者中扩张型心肌病的更高频率与心肌组织中存在HIV有关。在一些家庭中,已观察到自身免疫介导的心肌细胞破坏倾向。这些患者的一级亲属自身免疫性疾病的发生率较高,包括青少年糖尿病、类风湿性关节炎、甲状腺炎、银屑病和哮喘,这表明MHC II类DQ多态性可能在这些常见形式的自身免疫介导的炎症性扩张型心肌病中发挥作用。
酒精会减弱心脏收缩力,同时提高舒张压。虽然它会增加心率并导致血管舒张,但心肌灌注明显受损。高达36%的扩张型心肌病患者与酒精滥用有关。拟交感神经药物(可卡因、甲基苯丙胺)具有促血栓形成作用,提高心肌需氧量,并导致冠状动脉痉挛,从而导致心肌微缺血。治疗药物,如蒽环类药物,会引起氧化应激,这是由线粒体功能和氧化磷酸化改变引起的。化学毒性(即治疗药物诱导的)扩张型心肌病可能在治疗期间或之后几年发展。围产期心肌病是一种罕见的疾病,通常发生在妊娠的第三个月或分娩后的前5个月,被认为是普遍被忽视的。围产期心肌病也表现为心室扩张并伴有收缩功能障碍。它主要影响30岁以上的肥胖、经产妇女;在多达一半的病例中,患者会完全康复,但也可能出现不良结局(心力衰竭、移植、死亡)。
基因解码为扩张型心肌病基因检测提供检测基因和位点
除了扩张型心肌病的反应性原因外,高达35%的患者通过致病基因鉴定基因解码会发现存在可以导致或可能是遗传性扩张型心肌病的基因序列变化。在过去的几年里,基因解码投入了巨大的科学努力来破译这些改变的分子机制,并识别潜在的基因信息改变。扩张型心肌病的致病基因测序及解密研究表明,大多数突变发生在编码细胞骨架、心肌细胞肌节和核膜蛋白的结构蛋白的基因中。这些遗传变异突变有些是使得疾病采用常染色体显性的方式将疾病遗传给后代;而有些则采用X连锁、常染色体隐性或线粒体模式的遗传,尽管很罕见。除了明确定义的导致扩张型心肌病的单基因突变外,扩张型心肌病本身也可能是遗传综合征的一部分,疾病的临床表征最初表现为全身性疾病或首先在其他器官出现。

(责任编辑:admin)