【佳学基因检测】Carney-Stratakis综合征遗传阻断基因检测
遗传病、罕见病与肿瘤综合症基因检测导读:
Carney-Stratakis 综合征的英文疾病名称为Carney-Stratakis syndrome。在佳学基因基因检测项目大全中,该病属于家族性副神经节瘤和胃肠道间质瘤的二元体、即是一种罕见病,也是肿瘤基因检测项目列且中的一员。根据《肿瘤基因检测病案集》,Carney-Stratakis 综合征是一种罕见的、独特的家族性副神经节瘤和胃肠道间质瘤二元组,与琥珀酸脱氢酶基因 SDHB、SDHC 和 SDHD 的种系突变有关。 佳学基因检测病案集收录了一名患有 Carney-Stratakis 综合征的 45 岁女性的独特病例,她最初表现为可触及的左颈部肿块。 进一步检查显示颈部有 2 个副神经节瘤,胃部有多个 SDHB 缺陷型胃肠道间质瘤。 Carney-Stratakis综合征遗传阻断基因检测分享了这一疾病的影像学特点和临床表征。
Carney-Stratakis综合征基因检测导读:
Carney-Stratakis综合征于 2002 年首次通过临床诊断记录成为临床病例,在病例描述中,呈现出家族性副神经节瘤和胃肠道间质瘤的二元共存体。 它是一个独特的疾病种类,与《人体疾病表征》中所说的Carney三联征不同,后者注意到副神经节瘤、胃肠道间质瘤 (GIST) 和肺软骨瘤之间的关联。 Carney-Stratakis 综合征与琥珀酸脱氢酶基因 SDHB、SDHC 和 SDHD 的种系突变有关,具有常染色体显性遗传和不完全外显率。 Carney-Stratakis综合征遗传阻断基因检测病案集描述的是一个45 岁女性患者的 Carney-Stratakis 综合征病例,该患者最初表现为可触及的颈部肿块。
Carney-Stratakis综合征病案描述
一名没有明显既往病史或手术史的 45 岁女性在出现可触及的左颈部肿块数月后就诊。 除了可触及外,病变在其他方面无症状。 患者在外部机构接受了超声引导活检,病理显示神经内分泌肿瘤,突触素、嗜铬粒蛋白和 CD56 免疫染色呈阳性,符合副神经节瘤。 佳学基因合作医院对患者重新检测颈部的对比增强计算机断层扫描 (CT) 以及胸部、腹部和骨盆的对比增强 CT检测。
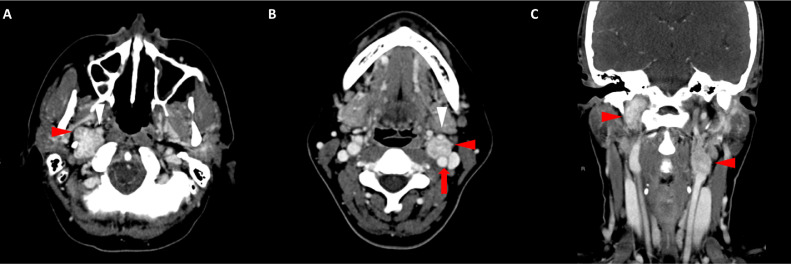
颈部增强 CT 显示 2 个强烈强化的肿块。 一个位于颈部右侧,位于右侧颈内动脉后方的颈动脉间隙中,位于茎突内侧,大小为 24 × 24 × 30 mm,颈静脉横向移位(图 1A)。 第二个位于左侧颈动脉间隙,在分叉处正上方展开颈外动脉和颈内动脉,尺寸为 15 × 18 × 22 mm(图 1B)。 影像学检查结果与右侧迷走神经和左侧颈动脉体副神经节瘤一致,与之前的活检结果一致。

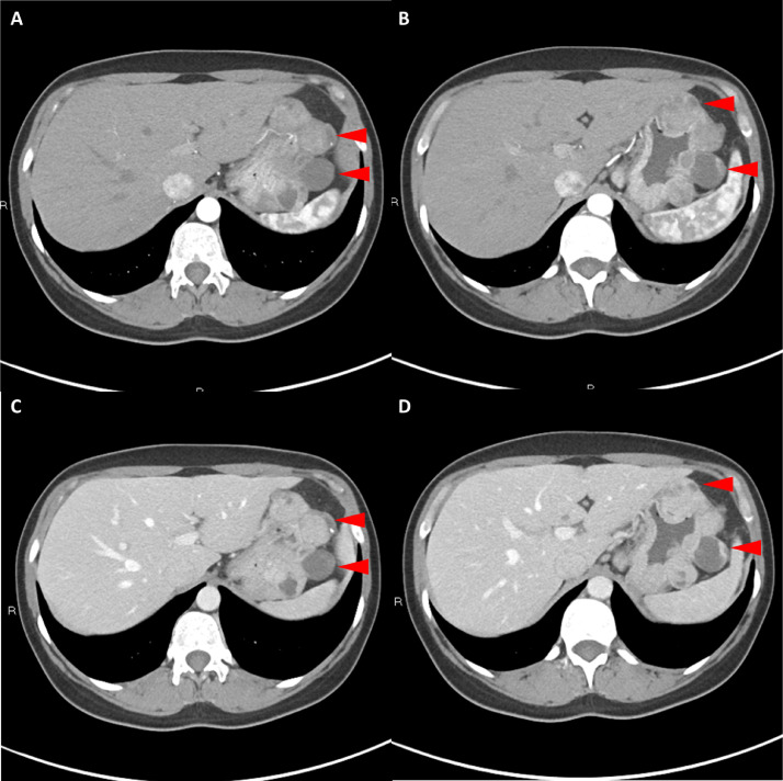
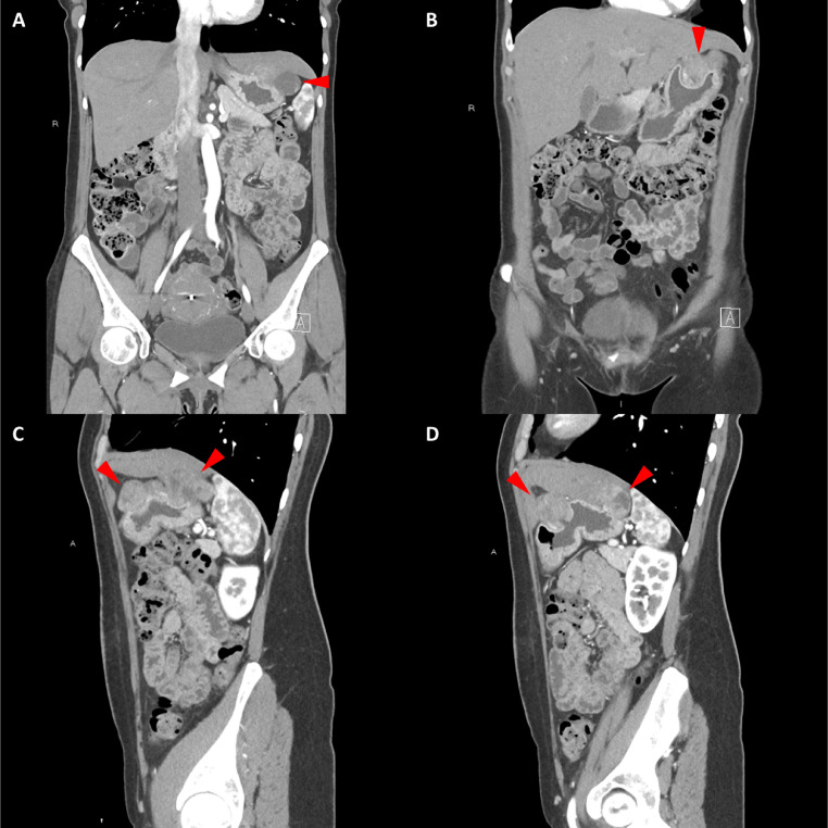
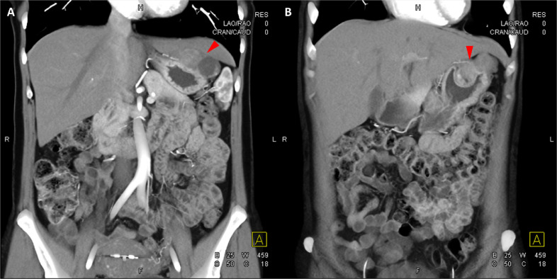
胸部、腹部和骨盆的对比增强动脉和静脉期 CT 显示多个圆形、主要是血管丰富的异质肿块,具有囊性和实性成分,起源于胃底和胃体(图 2-4)。 病变部分呈外生结构,被认为位于粘膜下层。 在颈部多发同步性副神经节瘤的情况下,最初的鉴别诊断包括多发性副神经节瘤、多发性 GIST 以及转移性疾病。



Carney-Stratakis综合征基因检测的共识性意见
Carney-Stratakis综合征遗传阻断基因检测介绍了这个从头诊断 Carney-Stratakis 综合征的独特病例,该病例是一位健康且无症状的 45 岁女性。 Carney-Stratakis 综合征是副神经节瘤和 GIST 的二元体,具有常染色体显性遗传和不完全外显率 。 初始队列患者的平均诊断年龄为 23 岁,男性和女性患者均如此。 尽管 Carney-Stratakis 综合征与 Carney 三联征(与 GIST、副神经节瘤和肺软骨瘤相关)有重叠,但 Carney 三联征是散发性的,以女性为主,并且与 KIT、PDGFRA 或 SDH 基因。
Carney-Stratakis 综合征是家族性 GIST 综合征之一,还包括原发性家族性 GIST 综合征和 1 型神经纤维瘤病。然而,虽然家族性 GIST 综合征与 KIT 和 PDGFRA 突变有关,但 Carney-Stratakis 综合征与琥珀酸脱氢酶亚基 B、C 和 D。
SDH 缺陷型 GIST,如 Carney-Stratakis 综合征中所见,是罕见的,据认为仅占所有 GIST 的 7.5%。 然而,它们具有独特的特征,可以帮助将它们与更常见的 KIT 和 PDGFRA 突变的 GIST 区分开来。 它们更常与女性相关,并且出现在较年轻的年龄。 病理学上,肿瘤最常位于胃部,呈多灶性,组织学表现为上皮细胞增生。 一项针对 34 名 SDH 缺陷型 GIST 患者队列的多探测器 CT 结果研究发现,这些患者中有 82% 发生了转移。 肝脏是最常见的转移部位 (71%),其次是腹膜 (59%)、淋巴结 (53%) 和肺 (29%)。 虽然淋巴结转移在 SDH 缺陷型 GIST 中很常见,但在 GIST 中并不常见。 然而,即使在转移性疾病的情况下,SDH 缺陷型 GIST 的总体临床病程也很缓慢,尽管患者可能会发展为迟发性转移,需要长期随访。
SDH 基因突变,如 Carney-Stratakis 综合征中所见,也见于家族性副神经节瘤综合征 1-5 型。 其他家族性嗜铬细胞瘤和副神经节瘤综合征包括 Von-Hippel Lindau、2 型多发性内分泌肿瘤和 1 型神经纤维瘤病。 值得注意的是,与散发性副神经节瘤相比,具有 SDHB 突变的副神经节瘤具有更高的转移性疾病风险,除 GIST 外,还与肾细胞癌和甲状腺乳头状癌相关。
SDH 缺陷型 GIST 和副神经节瘤的治疗也可能有所不同。 虽然手术被认为是 GIST 的一线治疗,但鉴于 SDH 突变 GIST 的淋巴血管浸润风险较高,因此淋巴结取样也有作用。 此外,通常用于 GIST 的酪氨酸激酶抑制剂(例如伊马替尼)已证明在缺乏靶突变的情况下对 SDH 缺陷肿瘤的疗效较差。 手术也是局部和有症状的副神经节瘤的首选治疗方法,可能需要多学科治疗。 然而,由于 SDH 缺陷肿瘤独特的生物化学特性,正在进行的研究正在确定可行的治疗方法。
总之,该病例证实了与 Carney-Stratakis 综合征相关的多发性副神经节瘤和胃 GIST 的影像学表现。 尽管是一种罕见的诊断,但重要的是要考虑多发性副神经节瘤或 GIST 的综合征相关性,因为准确的诊断对治疗和随访具有重要意义。
(责任编辑:admin)